MENU
大切な前歯だから、色と形は後悔できない。
大阪中央審美歯科ホワイトニングサロン(ミント歯科)の審美セラミックには、最終調整日にトップセラミスト同席の色合わせ・形合わせが基本。
しかも大阪中央審美ホワイトニングサロン(ミント歯科)が審美歯科領域でパートナーとして選んでいるのは、腕が良く、私が本当に信頼できるセラミスト。緻密な色使いと美しく芸術的な形づくり。最終段階では、このセラミストさん同席で色合わせと形合わせを実施致します。
それを品質の陶材を用いて、オーダーメイドの歯に仕上げて行きます。
豊富な色ガイドの中から、好みを聞きながらあなたに最も合う色を選択。決められた色だけでなく、独自の技術で調合も行う為、同じ白色でも数百通り以上もの白を表現できます。
「本当はもっと小さくて丸い歯がよかったのに・・・」
なんて後悔しないために、大阪中央審美歯科ホワイトニングサロン(ミント歯科)では、歯の形もオーダーメイドで行います。
色合わせだけのセミオーダではなく、完全なるフルオーダーメイド。患者様も納得の仕上がりが可能となります。
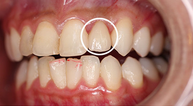
まず仮歯を外します。
そこに形調整用の歯を入れます。形合わせ専用の特殊材料を使っていますので、色は少し黄色いです。
鏡で確認して頂いて、理想の形をお聞きします。「ほんの少しだけ平らな方が好き」との要望があった為、その場でセラミストさんが調整
再度お口に戻して鏡で確認して頂きます。もちろん、「ここを少し丸く」や「もっと短く」等の調整も可能。

| 診療時間 | 月 | 火 | 水 | 木 | 金 | 土 |
|---|---|---|---|---|---|---|
| 10:00~14:00 | ○ | ○ | ○ | ○ | ○ | ○ |
| 15:30~20:00 | ○ | ○ | ○ | ○ | ○ | △ |
△=15:30~18:30
【休診】日曜、祝祭日
© 大阪中央審美ホワイトニングサロン